Kan je met een vastgezette enkel skiën?
- Bart
Met een enkel artrodese of aangeboren klompvoet in een skischoen? Het kan!
De bovengenoemde aandoeningen, enkel artrodese en klompvoet, zijn natuurlijk verschillende aandoeningen. De overeenkomst van beiden is de beperkte dorsaalflexie van het enkelgewricht waardoor het skiën wordt bemoeilijkt en niet in de laatste plaats het in- en uitstappen in een gewone skischoen. Wanneer de beweging van het enkelgewricht is beperkt vraagt dit speciale aanpassingen van de skischoen. Daarover zo meer. Eerst iets over de anatomie.
Wat is de doorsaalflexie van het enkelgewricht?
Dorsaalflexie geeft de mate aan waarin de bovenzijde van de voet richting het scheenbeen bewogen kan worden. De hoek met de grond die ontstaat wordt uitgedrukt in graden. Een normale (gemiddelde) waarde voor de mate van buiging is 20 graden. Staand betekent dit dat uw knieën boven uw tenen kunnen komen terwijl de hiel nog op de grond staat.
Waarom is de doorsaalflexie belangrijk in het skiën?

De mate waarin de enkel kan buigen bepaalt ook de mate waarin men in de zogenaamde ‘vorlage’ (voorovergebogen houding) kan komen en zodoende de juiste druk op de ski’s kan zetten. Te weinig vorlage betekent dat men te veel ‘achterop’ op de ski’s zit wat disbalans tot gevolg heeft met de kans dat men eerder ten val komt.
Doorsaalflexie is dus belangrijk voor de skitechniek. Maar er is nog een probleem: mensen met een beperkte of zeer gelimiteerde doorsaalflexie van het enkelgewricht kunnen zeer moeilijk (traditionele) skischoenen aantrekken. Om een skischoen aan te trekken moet men eerst de voet strekken en daarna de voet buigen. Bovendien staat de schacht van een gemiddelde skischoen in een hoek van tussen de 13 en 19 graden. Bij een vastgezette enkel (artrodese) of aangeboren (idiopathische) klompvoet kan het zijn dat er geen flexie van het enkelgewricht mogelijk is (nul graden) of dat deze zeer gelimiteerd is. Bijvoorbeeld 6 graden.
U voelt ‘m aankomen: skiën met een artrodese of klompvoet gaat niet goed in een standaard skischoen!
Wat is een artrodese?
Een artrodese (ook wel een kunstmatige ankylose genoemd) is het vastzetten van een gewricht. Dit gebeurt operatief. Het doel is altijd om een pijnlijk gewricht te behandelen. Na de ingreep is het gewricht beperkt in zijn beweging. De reden voor deze ingrijpende operatie kan dus zijn dat het gewricht zodanig is aangetast dat beweging van het enkelgewricht te pijnlijk is. Maar het kan ook zijn dat het gewricht zo instabiel is (vaak bij de enkel het geval) dat de patiënt beter af is met een vastgezet gewricht.
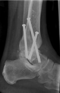
Wat is een enkel artrodese?
Een artrodese van de enkel is dus het vastzetten van het enkelgewicht. Bij dit vastzetten wordt het scheenbeen (de tibia), het sprongbeen (de talus) en vaak ook het kuitbeen (de fibula) aan elkaar vastgezet met schroeven. Door deze fixatie zal het lichaam deze botdelen laten vergroeien. Het gevolg is dus een enkel met beperkte beweging (mobiliteit).
Doordat de gewrichten in de middenvoet wel blijven bewegen is in de meeste gevallen een redelijk normaal looppatroon mogelijk. Wandelen, fietsen, traplopen zijn goed mogelijk met een vastgezette enkel.
Wat is een (idiopathische) klompvoet?
Een idiopathische (zonder duidelijke oorzaak) klompvoet is een voet met een aangeboren afwijking en is dus iets anders dan een enkel artrodese. We noemen hem hier omdat de problematiek met het aantrekken en vorlage in de skischoen hetzelfde is.
De aangeboren klompvoet heeft betrekking op de spieren, de banden (ligamenten), de botten en de gewrichten van de voet. De voet is naar beneden gericht en de tenen wijzen naar het andere been. Vaak is de stand van de voeten al te zien bij de 20 weken echo. De bandeling kan dan ook vrijwel direct na de bevalling beginnen.
Sinds 2014 is er in Nederland een richtlijn: ‘Behandeling van de idiopathische klompvoet’ deze is gebaseerd op de Ponseti-methode. Door deze behandeling, die ook stand verandering behelst, is het mogelijk om op later leeftijd goed te kunnen functioneren. Toch zien we bij veel mensen met een aangeboren klompvoet ook nog beperking in de bewegelijkheid (dorsaalflexie) en is skiën en met name het aantrekken van de skischoen een uitdaging.
Skischoenen aantrekken met weinig flex in de enkel
Alle skiërs weten dat het aantrekken van een skischoen soms wel een ‘dingetje’ is. Het is niet voor niets dat wij altijd zeggen ‘laat je skischoenen ‘s nachts niet de auto liggen!’ Een skischoen is, met reden, een stug apparaat. Wedstrijdskiërs, met skischoen flex van tussen de 130 en 150 trekken niet voor niets eerst hun binnenschoen aan en stappen zo in de buitenschaal.
Voor mensen met weinig tot geen mobiliteit in de enkel is het aantrekken van een skischoen een ware kwelling. En soms lukt het helemaal niet!
Om een skischoen aan te kunnen trekken moet het enkelgewricht twee bewegingen kunnen maken: plantairflexie of het strekken van de voet en (daar is ie weer): dorsaalflexie, of het buigen van de voet. Laten dat nou net twee bewegingen zijn die iemand met een enkel artrodese of een aangeboren klompvoet niet of zeer moeilijk kan maken in een standaard skischoen.
De oplossing!
Wij maken een skischoen die niet alleen volledig op maat is gemaakt en rekening houdt met de (soms afwijkende) vorm van de enkel maar ook een die het in- en uitstappen makkelijk maakt. De bovenkant is bijna volledig wegklapbaar en men kan in de skischoen instappen vrijwel zonder de enkel te moeten buigen.
Nog even over de ‘vorlage’
Eerder schreef ik al dat de mate waarin je enkel kan buigen ook belangrijk is om in de vorlage te komen en zodoende druk te kunnen geven op de ski’s. Omdat wij de skischoen op maat maken is er ruimte en kunnen wij ook onder de hiel de voet liften zodat er meer vorlage mogelijk is en staat men minder rechtop. Dit verbetert de skitechniek en plezier aanzienlijk!
Skiën met een klompvoet of artrodese is dus wel degelijk mogelijk! Weten hoe wij een skischoen aanmeten voor een voet met een bepekte enkelflex? Maak hier een afspraak.

